Bites of Hope: Our Feeding Journey After the Stent
Some parts of parenthood don’t start with a smile or a milestone. Sometimes they begin with something as fragile as fear, especially when feeding your child becomes a daily battle. Eating, something so simple for most, turned into a struggle that consumed our days and shaped our lives. When we were finally discharged from the hospital and got to take Imani home, it felt like we were beginning again. But we quickly learned that our journey was far from over.
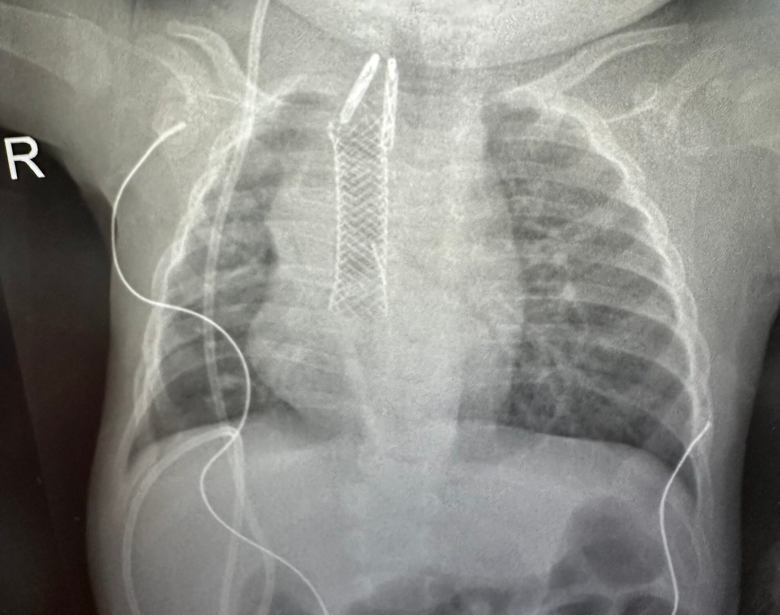
After several intense days in the hospital, we brought Imani home with a stent in her esophagus. It was meant to stay in place for nine weeks to keep her esophagus open. We were relieved to be back, but feeding her was anything but easy.
Imani wanted to eat again, but it was clear she was scared. Every time we brought food to her lips, she hesitated. Her whole body stiffened, as if she was bracing for something bad to happen. She didn’t trust it. We offered soft fruit and vegetable purées, completely smooth. No chunks, no texture at all. Even the smallest piece made her gag and throw everything up.
Feeding took over our entire day. It was constant — preparing, feeding, cleaning, trying again. We couldn’t go anywhere. Her schedule revolved around when she needed to eat, how much she could tolerate, and how long it would take. And still, the scale never moved. She wasn’t gaining weight, and that was devastating.
The stent itself didn’t bother her much, but she started getting sick. A lot. The doctors explained that the stent left her esophagus open, like a faucet. Whenever she had reflux, nearly everything would come back up. Sometimes, it went into her lungs. That’s when the lung infections began. We asked for help. Her speech therapist suggested blending her formula with purées to make it thicker, hoping it would stay down better. We tried, but nothing really changed. She kept getting sick. I lost count of how many times we went back to the pediatrician. Each time, more antibiotics. More nebulizers. More questions.
Eventually, I asked if she could have an allergy. They ran blood tests, and the results brought both clarity and heartbreak. Imani was allergic to cow’s milk protein.
It felt like a punch in the stomach. She had been on a high-calorie formula called Infantrini, the same one that was supposed to help her grow, and she had been allergic to it the entire time. No wonder she wasn’t gaining weight. No wonder she felt so unwell.
I called her dietitian right away. We switched her to Neocate Junior, a special formula that’s dairy-free and made with broken-down proteins to help her body digest it more easily. For the first time in months, things started to shift. She began to grow. She seemed stronger. There was finally progress. After nine weeks, her stent was removed. The procedure went well, and her esophagus stayed open on its own. We exhaled – really exhaled, for the first time in a long while.
But a few months later, the signs returned. She struggled to swallow. She started refusing food again. We knew something was wrong. Back at the hospital, another scan showed her esophagus had narrowed again.
She was admitted and a second stent was placed. It was the only thing that had helped her before, and thankfully, it helped again. She started eating again, slowly but surely. Some days were easier than others. But she wanted to try and that meant everything.
What We’ve Learned
Feeding is so much more than nutrition. It’s safety. Trust. Comfort. Connection. For Imani, every bite was a challenge. For us, every meal was a lesson in patience and persistence. We had to keep asking questions, pushing for answers, and learning to trust our instincts, even when we were exhausted.
We’re still on this journey. Some days are incredibly hard. But others are full of quiet victories.
Has this story touched you?
Maybe your child struggles with feeding, or maybe you’ve just felt that weight in your chest, the kind that comes with watching your little one fight so hard for things that should come naturally.
If any of this feels familiar, please know this: you are not alone. And neither is your child.

